Skip to content Skip to sidebar Skip to footer

The Painful Truth: How Skin Peeling from Gums Impacts Your Oral Health and Self-Confidence

The Painful Truth: How Skin Peeling from Gums Impacts Your Oral Health and Self-Confidence

The Painful Truth: How Skin Peeling from Gums Impacts Your Oral Health and Self-ConfidenceDo you dread smiling or attending social gatherings because of skin peeling off your gums? Are you experiencing pain, bleeding, or bad breath due to gum peeling? Don’t worry; you’re not alone. Gum peeling is a common health issue that affects individuals of all ages.Short jokes will only get us so far, and statistics show that ignoring the issue rarely leads to positive results. According to a study published in the Journal of Periodontology, gum peeling can be a symptom of bacterial infections or gingivitis, a severe form of periodontitis. When left untreated, these conditions can result in tooth loss, bad breath, and even affect cardiovascular and respiratory health.So what causes gum peeling in the first place? Lack of proper oral hygiene, smoking, stress, certain medications, and nutritional deficiencies have all been known to contribute to gum recession. The delicate tissue covering your teeth roots may disappear, lead to sensitive teeth and pain when exposed to hot or cold substances.But there’s good news! Gum peeling is treatable and preventable with proper hygiene methods and a visit to the dentist. Here are some steps that can help:Brush your teeth twice daily with a fluoride toothpasteFloss regularly to remove food particles and bacteria buildup Use mouthwash to rinse your mouth before and after mealsApply vitamin E oil or aloe vera gel to the affected gum tissuesEat a well-balanced diet rich in calcium and Vitamin D to improve bone healthBy following these simple steps, you can reduce the pain and discomfort of gum peeling while restoring your smile and confidence. Don’t wait for the issue to become more severe, seek dental care from a professional right away.In conclusion, gum peeling may seem like a minor condition, but it can lead to severe health complications. Although it's prevalent in most cases, taking the necessary steps to prevent and treat it now will save you a lot of pain, money, and self-confidence in the future. Remember, your oral health is your responsibility - take charge today!
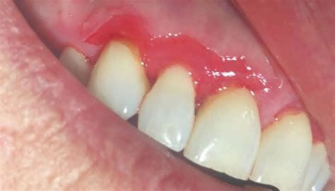
Skin
Skin Peeling From Gums ~ Bing Images

Introduction

Our smile is the first thing people notice about us, and it's hard to feel confident when something is affecting our oral health. Your gums play a crucial role in the health of your mouth. They support and hold your teeth in place while also protecting them from decay. However, when your gums start peeling, it's important to understand how it affects both your oral health and self-confidence. In this blog, we'll dive into the specifics of skin peeling from gums and offer solutions for a happier, healthier smile.

Understanding Skin Peeling from Gums

Peeling gums can be uncomfortable and worrying especially if you don't understand why it is happening. This problem mostly arises due to gum injury, dry mouth, plaque buildup/gingivitis or due to autoimmune diseases. Gum injury leads to mechanical loss of cells and keratin. Scalloped white patterns and an uneven texture are other symptoms resulting from persisitent peeling.

If ignored, the peeling that starts from the gums could have a severe impact on your oral health. It may lead to receding gums, pockets between the teeth and deeper periodontal pockets. So, taking the issue seriously from day one is self-rewarding.

The Impact on Oral Health

Gums with peeling skin expose the sensitive inner layers that open the doors of bacteria viruses and worms towards your teeth; Leaving undefended gums susceptible to bleeding, swelling and painful inflammation. If not treated, it puts an individual at risk of getting infections that could lead to tooth loss or bone damage.. Understand that your oral and dental cleanliness is closely associated to your overall well-being. Mouth infection has been negative role insiders to different ailments including diabetes, cardiac arrest and respiratory complication. .

The Impact on Self-Confidence

Also known as the 'winning starter asset' – Smile. Sadly, if whatever reason it makes smiles less appealing than looking less satisfied with ourselves adequately reading notions around the mind of whoever looks at us

A compromised oral health not only poses a physical threat but it's an extremely personal impact which can leave lingering effects on mental well-being and lifestyle. Knowing your Smile reflects the first glimpse of your social attractiveness and standing additionally precipice confidence, having skin peeling gums will equal making closing down for every approach involving shows openness of your vulnerable zone.- Being confident with your oral halth comes through clearer comversations with strangers to freely projecting emotions and opinions.

Treatments and Solutions

Gingivitis in its primary stages can be cured depending on what the cause is – professional dental care of good hygiene ensures no hardened deposits occur onto your teeth which contributes in healing gum diseases as you won't have excess anaerobic communities forming accountabing for constant rising and fallin cases gum irritaion.. Regularly falk onto medicated jelly ulcer palliatives online until appointments are had.

Mouthwash that aids inhibiting loose plaque remanants up to five hours after brushing(when used breathed for atleast thirty seconds results). Simple steps such include improving food and sleep habits. Brush fruit juice onto gums using cleared flattened teeth of bristles under with the tip fixed onto the paliated pain points within fingers reach.

Table Comparison between Gum Peeling and Healthy Gum

Gum with Peeling Skin Healthy Gum
Promotes bad breath No bad breath resulting
Bleeding gums quite common No bleeding within hygiene standards
Sensitive and painful that persistively iritate alot. No sensivity featured leaving individual with greatest ability holder of anything they wanna make pronouncements of
Befalls major clincial issues..gnarled shifts, constant bleeding and are pariah to root canal to mention a few No serious gum disease logged clinically

The Bottom Line

The onset of peeling skin gums affect everyone's life negatively. It transforms personal confidences to becoming self secluded and initiates a great outcry amount of lost hopes of viewing an amplified personality tailed by individual assertion clanneles. Ensure Healthy dental care is practised as efficiently and consciously as possible - whether trained prosessionals making regular profesonal session with dentistas or comforting individuals struggling via substitutes kitchen recommendations – ensure you take good care of your gums else you might deprive yourselfof the oppurtunity to initiate conversation based on a healthy, brighter Smile signalling to commumanions that the future maybe Look promising:

Don't let skin peeling from gums damage your confidence and overall oral health. Remember that prevention is the key- maintain good oral hygiene practices like brushing twice a day, flossing and visiting your dentist regularly. Seeking professional help can also save you from a host of complications. Remember, taking proper care of your teeth and gums is not only good for your oral health, but it also reflects on your self-confidence.

So, put your best smile forward and pay attention to the painful truth of skin peeling from gums. You deserve a healthy and confident smile!

Sure, here's the text:FAQPage in Microdata about The Painful Truth: How Skin Peeling from Gums Impacts Your Oral Health and Self-Confidence with mainEntity for web page.

Post a Comment for "The Painful Truth: How Skin Peeling from Gums Impacts Your Oral Health and Self-Confidence"